I met Seleta over three years ago when she contacted me for advice about one of her sick hens. Unfortunately I wasn’t able to help, but that was the start of our online correspondence about small flock health issues.
If your memory needs jogging, Seleta hit the headlines in 2020 when her hen, Blue, became the first chicken in the world to undergo heart surgery for Patent Ductus Arteriosus. Never one to be shy about inviting folks to collaborate with me, I asked if we could present a case study featuring Blue. What followed were cases on one of her hens with pica eating disorder, another who was egg bound and required a spay surgery to save her life, as well as a hen with ILT. She even wrote a post about her great room turned into an aviary for her house chickens and her birds’ adverse side effects after being treated with Fenbendazole.
I enjoy hearing from her, but sometimes a bit of dread creeps in because despite Seleta’s best efforts her flock has experienced a number of health issues – many of them far from run-of-the-mill and often requiring expensive specialist care. This one doesn’t disappoint in that regard.
I doubt there are many chicken owners as dedicated as Seleta and her husband who have spent considerable amounts of time, money and energy to care for their flock.
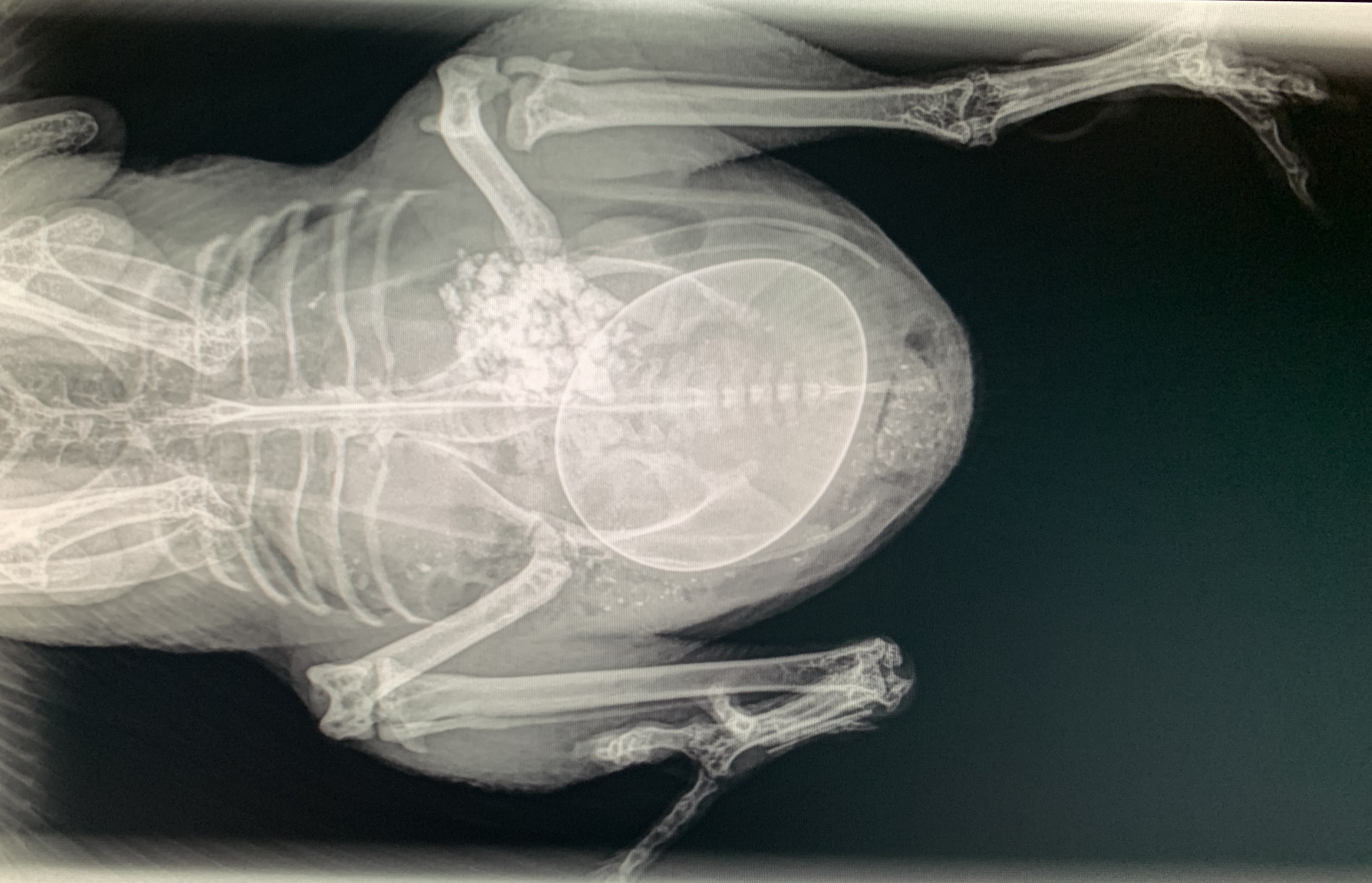
I lost Josie on May 30, 2024. She was my first Nankin hen, a real firecracker of a personality, and the matriarch to most of the first Nankins I bred in conservation of the breed. The week prior to her death, she had become egg bound. I tried giving her a half a chewable Tums, massaging her belly, giving her a dark place to lay and lubed up her vent, but nothing seemed to be working. I made an emergency appointment with one of my veterinarians who took radiographs to better see what we were dealing with. The egg was pretty large for no bigger bird than Josie was. She weighed a whopping 450grams.


Our veterinarian tried to manually get the egg into better position but was still unable to convince it to be laid. She gave her a dose of injectable Meloxicam and sent me off for an emergency trip to Denver to our avian board certified veterinarian. It’s about an hour and a half trip one way. We fully expected that Josie may need surgery to get the egg out since thus far it had not budged. Dr. F. was running a bit behind and dealing with several emergency cases, us included, so we had to wait for a bit in the exam room. While there, Josie pushed and pushed and finally laid that stupid egg! Wonderful!
Dr. F. looked her over and we decided to do a surgical hormone implant (which would prevent her from laying eggs) so we wouldn’t have such a disaster occur at a later date. I was always under the impression that once an egg bound bird laid the egg, you were home-free and in the clear to continue on with life as normal. So we did and Josie seemed to be feeling much better. But what if being egg bound wasn’t that simple at all? That, unfortunately, was the case for Josie.
About 5 days later, my son rushed into my bedroom and woke me up, “Something’s wrong with Josie! She is flopping around in the floor”. I rushed in to find just what he had described, but when I picked her up and examined her, I found that one leg was paralyzed and cool to the touch. I called our veterinarian and got her an appointment right away. At the visit they drew blood for me to take into work with me that evening. They also gave her pain medication and subcutaneous fluids. The veterinarian explained to me that sometimes in egg bound birds, the egg is so tightly wedged in their abdomen that it can put pressure on the surrounding organs and nerves. She did find it strange that it had taken a full five days for her to show any symptoms. She said she usually saw this complication in companion birds more often than in chickens and that it typically occurred within 24-48 hours past being egg bound.


The other thing that could have caused the paralysis is that her kidneys could have been damaged by the large size of the egg and the subsequent swelling of the kidneys could have compressed her sciatic nerve which in turn caused the paralysis. We wouldn’t know if that was the cause until the laboratory work was complete though. That night, I ran Josie’s chemistry panel and in 20 minutes I had my answer. Josie’s uric acid level was 259. A normal high uric acid was around 8. Josie was in kidney failure caused by a pressure necrosis from the large egg.
I had immediately messaged our veterinarian to tell her the news and we developed a plan to support her with subcutaneous fluid administration and anti-inflammatory medication to hopefully give her kidneys the time to heal from the ordeal. Sadly, before my shift ended that night, my husband called me to let me know that he had checked on her one last time before he went to bed and found that she had passed away.
Nearly a year later, I still sit here crying as I tell you her story. I feel so immensely guilty for not having been there for her in her final moments. I hope that she was as comfortable as she could be and that she knew how much she was loved.
I think the reason it takes me so long to write cases up for you is because of the emotional toll it takes. I do hope that sharing their stories helps someone somewhere save their bird or at least understand something new. In some small way, it helps to know their sweet, little lives were not in vain.
Seleta Nothnagel works nights in the Clinical Pathology Department at the Colorado State University Veterinary Teaching Hospital as a Medical Laboratory Scientist. They do blood work like chemistry panels and CBCs, urinalysis, coagulation studies and blood banking for all of the animals seen at the VTH. Before that she worked in the microbiology department in human medicine at a hospital for 10 years and in veterinary medicine as a Registered Veterinary Technician for 10 years.
Thanks to Seleta, for once again, sharing her story and photos, used with permission.

0 comments on “Case Study: Complications With An Egg Bound Hen”