I’m an educator by trade, experienced with curriculum development and public speaking. I’ve learned over the years that as much as I know about a subject I’m by no means an expert. I’m always looking for ways to learn more and to be better at what I do. When I started blogging about chickens I’d already had birds for almost a decade but I still wanted to explore the world of poultry keeping.
When the Covid-19 shutdown first hit I had more time on my hands since I was able to work at home. In addition to writing full length science-based articles for this blog, I started posting small snippets of information on my Facebook page, a platform more appropriate for folks scrolling through competing sites.
These posts consisted of short stories, photos of health issues and quizzes. I stumbled across my ‘minis’ file and thought I would post some of them here.
Today’s lesson includes some graphic photos, which are illuminating if you aren’t squeamish. You can skip them if you are.
Egg Binding
Egg binding occurs when an egg gets stuck in the reproductive tract causing the hen difficulty in laying it. The recommended treatment is to support the hen in whatever ways possible to lay the egg: a hot Epsom salt bath to relax the muscles and calcium (crushed Tums in water) to help with the contractions. Inserting lube into the vent can also help ease the egg out.





Photo credits: Rachel Clark; Bridger Animal Nutrition; Elizabeth Martin; Seleta Nothnagel; Seleta Nothnagel
If it becomes necessary, like in the case of one of my hens, you may have to break the egg and carefully extract all the contents. The risk is that any yolk remnants left in the reproductive tract can become the perfect medium for a bacterial infection like egg yolk peritonitis.
Egg binding usually occurs in young layers or when attempting to lay very large eggs. Other causes include: calcium deficiency, obesity, oviduct infections or the use of supplemental light to force laying year round. I’m careful to give my birds a good supply of oyster shells, crushed eggshells and a healthy balanced diet. I don’t use supplemental lighting in winter, which allows them a much needed break from laying.
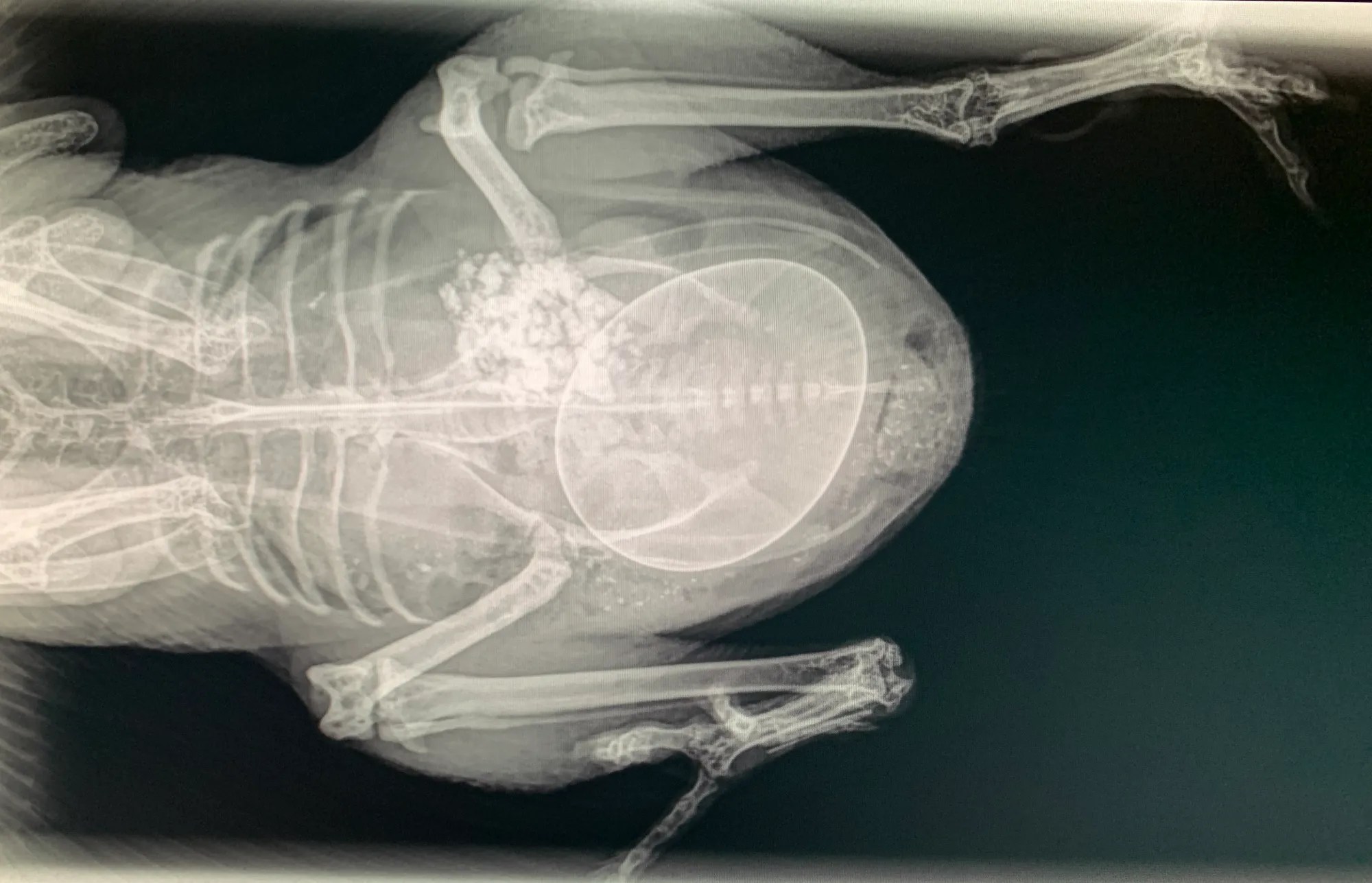
I see lots of online photos of hens in an upright ‘penguin’ stance or waddling, posted by owners who want to know what is going on and how to help them. Many folks, in their attempt to be helpful, jump in with a diagnosis of egg binding. Having eggs stuck inside the reproductive tract is far less common than egg yolk peritonitis (EYP) or salpingitis (lash egg).
Once your hens reach point of lay, the left ovary (the right ovary is usually non-functional in most birds) will begin producing ova (yolks). They are passed to the infundibulum (oviduct) which, in normal egg production, will begin transporting them through the rest of the reproductive tract until they are eventually laid as fully-formed eggs. In a hen with EYP, the yolk is not caught by the infundibulum, but is instead released into the coelomic cavity.




Photo credit: Sandy Gagnon
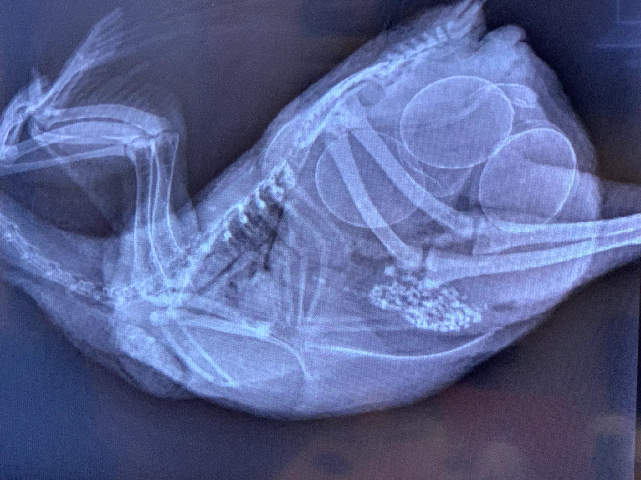
EYP is inflammation in the peritoneum (tissue covering the inside of the abdomen and most organs) caused by the presence of yolk from a ruptured egg or a retained egg in the oviduct. The yolk may result in only mild inflammation and be absorbed by the peritoneum. Unfortunately the yolk is also a medium for bacteria, which can lead to infection such as E. coli or Staphylococcus.
Some of you may have heard the term ‘lash egg, which is a bit of a misnomer because technically it’s not an egg. The correct name is salpingitis, an inflammation of the oviduct caused by an infection, which occurs in various species including both chickens and people.
It’s a common condition in poultry, especially among commercial-farmed birds, who lay large numbers of eggs. High-producing hens tend to have more relaxed egg laying muscles, which may allow fecal bacteria to migrate up the oviduct. Or sometimes it’s a result of respiratory infections that move down into the oviduct. Salpingitis is often associated with Mycoplasma and bacteria like E.coli and Salmonella.



Photo credits: Allison Mayo; Emma Cannon; Allison Mayo
Some of the symptoms are so generalized they could be many things: lethargy, loss of appetite, ruffled feathers, yellow poop or respiratory illness. An affected hen will eventually lay fewer eggs or stop laying altogether. Other typical signs include distended abdomen and laying soft or wrinkled eggs.
An early infection might have been the result of damage from egg binding. The two conditions share symptoms such as standing upright like a penguin and straining as if trying to lay an egg.
Ascites is not an illness or disease; rather it’s a symptom of one. Also known as Pulmonary Hypertension Syndrome or Water Belly, Ascites can occur as a result of dietary, environmental or genetic factors, which create physiological and metabolic changes, leading to abnormally high blood pressure causing heart failure and excessive build-up of fluid in the liver, which then leaks into the abdomen. The short-term fix is to drain some of the fluid, which may provide some relief and buy the hen some time but, ultimately, it is a terminal condition.
It is often confused with EYP. This might help you determine which condition it is and how to treat (or euthanize) your hen. The biggest difference between them is ascites presents with a soft squishy belly whereas a hen with EYP will have a hard abdomen. Both are painful because the growing fluid or mass ultimately pushes on their internal organs or respiratory system slowly impairing their function and ultimately causing death.


Photo credit: ChickenFans; Bitchin’ Chickens
Depending on how advanced the condition is the fluid build up related to ascites can be drained. If you’re lucky it’s a permanent fix, but more often than not it’s an on-going treatment that only buys you time. Ascites is often a terminal condition that requires humane euthanasia.

Photo credit: Bitchin’ Chickens
I know that folks are trying to do their best by their birds, but the desire to help doesn’t replace knowing how to recognize various conditions and when it is time to humanely euthanize a bird that is clearly suffering. Online groups are rife with misinformation that often prolongs the decision to cull a bird.
No amount of treating for parasites, administering Corid or vitamins, or placing in an Epsom salt bath will address the sad fact that birds can hide the symptoms of a serious illness long past the point that human intervention might help. In each of those conditions the fluid or mass continues to accumulate, enlarging the abdomen so the bird often appears robust and healthy. The final straw is when the fluid or mass impedes on the functioning of internal organs or gets so large as to cause the bird significant pain.
Regardless of the issue, a hen that is standing upright is attempting to alleviate pain caused by pressure on her internal organs. Whether it is salpingitis, EYP, a cyst or cancer, sadly, at that point, there is often no help, short of surgery.
Remember that chickens can hide their symptoms until they are quite sick and beyond help. Please consider humane euthanasia sooner rather than later.
“Because chicken science is cooler than you think.”

0 comments on “A Brief Overview Of Reproductive Tract Issues In Hens 1”